Layanan Tambal Gigi Surabaya: Solusi Gigi Berlubang yang Estetik & Tahan Lama

Jangan biarkan lubang kecil menjadi masalah besar. Dentalogy menawarkan perawatan penambalan gigi (dental filling) dengan bahan komposit kualitas premium. Kami mengembalikan bentuk dan fungsi gigi Anda dengan hasil yang natural, kuat, dan sewarna gigi asli.

Kapan Anda Perlu Melakukan Penambalan

Seringkali kerusakan gigi tidak kasat mata. Namun, Anda disarankan segera mengunjungi layanan tambal gigi Surabaya kami jika mengalami kondisi berikut

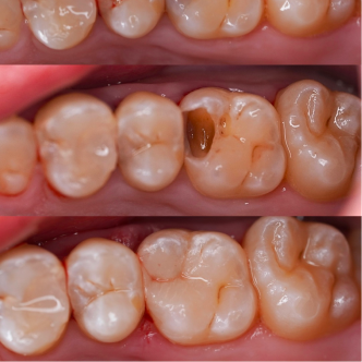
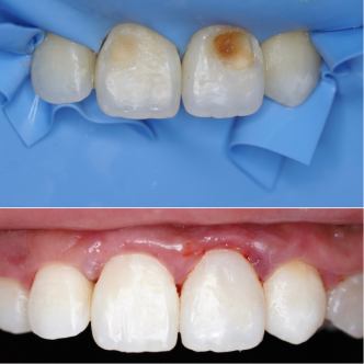
Gigi Berlubang

Adanya noda hitam atau lubang yang terasa kasar lidah

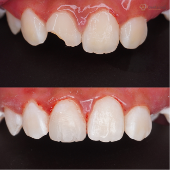
Gigi Patah/Gompel

Kerusakan kecil akibat trauma (misal: tergigit benda keras atau jatuh)

Gigi Sensitif

Rasa ngilu tajam saat minum dingin/manis akibat lapisan gigi yang terkikis (abrasi)

Tambalan Lama Rusak

Tambalan lama yang sudah lepas, longgar, atau berubah warna

Urgency

Mengapa Gigi Berlubang Harus Segera Ditambal

Prinsip kami sederhana: “Lebih Cepat, Lebih Hemat.” Membiarkan lubang gigi tanpa perawatan dapat memicu masalah serius:

  • Sakit Gigi Ekstrem: Lubang akan semakin dalam hingga mencapai saraf.
  • Infeksi & Bengkak: Bakteri dapat menyebar ke gusi dan akar gigi.
  • Biaya Lebih Mahal: Jika lubang sudah mengenai saraf, Anda memerlukan Perawatan Saluran Akar yang biayanya jauh lebih tinggi dibanding tambal biasa.
  • Risiko Cabut Gigi: Kerusakan yang terlalu parah membuat gigi tidak bisa diselamatkan lagi.

Bekerja sama dengan beberapa brand

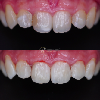
Hasil Estetik

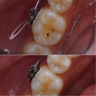
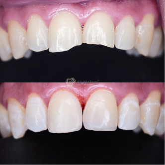
Tambalan Natural, Tak Terlihat Seperti Ditambal

Di Dentalogy, kami menggunakan material Resin Komposit modern. Keunggulannya adalah warna bahan dapat dicocokkan dengan sempurna sesuai shade gigi asli Anda. Hasilnya sangat estetik, halus, dan sulit dibedakan mana gigi asli dan mana bagian tambalan.

Proses Penambalan Gigi di Dentalogy

Kami melakukan prosedur penambalan dengan teliti untuk memastikan ketahanan jangka panjang

Galery

Penambalan gigi di dentalogy

Cegah Lubang Gigi Menjadi Sakit Berdenyut!

Penanganan dini jauh lebih hemat dan mudah daripada menunggu hingga saraf gigi terkena. Segera kunjungi layanan tambal gigi Surabaya di Dentalogy sebelum lubang membesar. Kami siap memberikan perawatan yang cepat, steril, dan nyaman untuk melindungi gigi Anda.

Apa kata pasien

Testimoni Pasien Dentalogy

5.0/5.0

FAQ

Pertanyaan Populer Seputar Tambal Gigi

Apakah penambalan gigi sakit?

Umumnya tidak sakit. Namun, jika lubang sudah cukup dalam mendekati saraf, mungkin akan terasa sedikit ngilu. Dokter gigi kami akan memberikan anestesi lokal jika diperlukan untuk menjamin kenyamanan Anda selama prosedur.

Tergantung bahan yang digunakan:

  • Tambalan Komposit (Sinar): Anda boleh langsung makan segera setelah keluar dari klinik karena bahannya sudah keras sempurna.
  • Tambalan GIC (Semen): Sebaiknya menunggu 2-3 jam sebelum makan agar bahan mengeras sempurna.

Tambalan tidak bertahan selamanya. Anda perlu menggantinya jika:

  • Tambalan retak, bocor, atau lepas.
  • Muncul rasa nyeri atau ngilu di gigi yang sudah ditambal.
  • Terjadi karies sekunder (lubang baru di bawah tambalan).
  • Berubah warna yang mengganggu estetika.
  • Tips: Lakukan kontrol rutin 6 bulan sekali untuk memantau kondisi tambalan Anda.

Bisa. Banyak pasien kami melakukan penggantian tambalan logam lama ke bahan komposit agar tampilan senyum lebih bersih dan sehat.

Anda perlu penambalan jika mengalami:

  • Gigi berlubang (karies)
  • Gigi patah kecil akibat trauma
  • Sensitivitas karena gigi terkikis
  • Tambalan lama yang rusak atau lepas

Pemeriksaan dokter gigi akan menentukan apakah penambalan diperlukan.

Lubang akan membesar dan dapat menyebabkan :
  • Sakit gigi
  • Infeksi / pembengkakan
  • Jika lubang sampai saraf membutuhkan perawatan saluran akar 
  • Pencabutan gigi
Penangganan lebih dini akan lebih mudah dan lebih ekonomis.

Ya. Dengan bahan komposit modern, warna tambalan bisa disesuaikan dengan warna gigi sehingga tampilan sangat natural dan sulit dibedakan dari gigi asli