Kehilangan gigi bukan akhir dari segalanya. Dentalogy menghadirkan solusi restorasi gigi (Implan & Gigi Palsu) yang ditangani langsung oleh kolaborasi Spesialis Bedah Mulut (Sp.BM) dan Spesialis Periodonsia (Sp.Perio). Nikmati kenyamanan mengunyah dan kepercayaan diri yang kembali seperti semula.

Banyak yang menganggap remeh satu gigi yang hilang. Padahal, membiarkan area “ompong” tanpa perawatan dapat memicu masalah serius

Gigi di sebelahnya akan bergeser mengisi celah kosong, merusak susunan rahang

Tulang rahang yang tidak menyangga gigi lama-kelamaan akan menyusut, membuat pipi tampak kempot dan wajah terlihat lebih tua

Pola kunyah yang tidak seimbang dapat menyebabkan nyeri pada engsel rahang

Mengganggu pelafalan kata dan kenyamanan saat makan
Jika Anda mencari kenyamanan maksimal, implan gigi adalah pilihan terbaik. Ini adalah prosedur penanam akar buatan berbahan titanium ke dalam tulang rahang, yang kemudian dipasangi mahkota (crown) di atasnya

Prosedur bedah dan gusi ditangani kolaborasi Spesialis Bedah Mulut & Periodonsia, bukan dokter gigi umum

Kami menggunakan brand implan terkemuka (Zimmer, Straumann, Osstem) yang teruji durabilitasnya

Finishing menggunakan Crown Zirconia yang kuat dan tampak natural

Prosedur steril dengan manajemen nyeri yang baik, membuat pemulihan lebih cepat

Dengan perawatan yang baik, implan dapat bertahan 10–25 tahun, bahkan seumur hidup









Pilihan paling ekonomis. Platnya agak tebal namun bisa diandalkan untuk mengganti 1 hingga beberapa gigi yang hilang.

Tanpa kawat logam, bahan ini lentur, lebih tipis, dan sangat estetik karena warnanya menyatu dengan gusi. Sangat nyaman dipakai.

Memiliki kerangka logam tipis di dalamnya membuat jenis ini sangat kuat, stabil, dan presisi. Cocok untuk penggunaan jangka panjang yang awet.
Masih ragu menentukan pilihan? Simak perbandingan singkat in
Kebutuhan Pasien
Implan Gigi
Gigi Palsu Lepasan
Ketahanan
Permanen (Tertanam)
Lepas-Pasang
Kenyamanan
Maksimal (Seperti gigi asli)
Cukup Nyaman (Butuh adaptasi)
Perlindungan Tulang
Mencegah penyusutan tulang
Tidak mencegah penyusutan
Estetika
Sangat Natural
Baik (Tergantung jenis)
Biaya
Investasi Premium
Lebih Ekonomis


Kami tidak mengambil jalan pintas. Keamanan tulang rahang Anda adalah prioritas kami
Wajib melakukan foto rontgen 3D (CBCT) di lab rekanan untuk melihat ketebalan tulang secara akurat
Dokter spesialis menanam post titanium ke dalam gusi. Tindakan ini cepat dan aman
Menunggu 2–3 bulan agar implan menyatu sempurna dengan tulang rahang
Setelah kuat, abutment dan crown dipasang. Gigi baru Anda siap digunakan untuk mengunyah dan tersenyum!

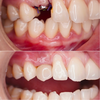
Perawatan gusi & Implant
drg. hendi Tri Medianto., Sp. Perio
Jangan biarkan gigi ompong menghalangi nikmatnya makan dan indahnya senyum Anda. Dapatkan solusi implan gigi Surabaya terbaik bersama para spesialis di Dentalogy
Galeri pasang implant gigi dan gigi palsu





Setiap kondisi gigi membutuhkan penanganan berbeda. Diskusikan kebutuhan restorasi gigi Anda bersama tim Spesialis Dentalogy. Baik Anda memilih kenyamanan permanen implan gigi Surabaya atau solusi pasang gigi palsu yang ekonomis, kami siap membantu Anda menemukan opsi terbaik sesuai kondisi tulang rahang dan budget Anda.

Boegil Luckman
Baru pertama kesini,pelayanan oke , dokter ramah tempatnya bersih dan nyaman. Next pasti bakal rutin kesini
…
Citta Dewi
penjelasan dokternya sangat detail dan mudah di mengerti, tempatnya nyaman, staf super helpful🤍
…
Fitriani Azura
Konsul gigi dgn Dr. Chindra super duper jelass dan amat sgt ramah. Terjangkau dan recomended
…
Riski Dwi
Penanganya bagus banget recommended banget Dokternya juga ramah ,pelayanan mantap 👍
…
Fiar Chalif
Pelayanan resepsionis sangat memuaskan, kebetulan saya melakukan tindakan tambal gigi estetik, dan hasilnya saya sangat puas! Dokter dan asdok sangat…

Nabila Safira
pelayanan sangat baik dari awal ke sini dan good experience banget, dokternya juga helpful 💜
…Nyeri sangat minimal karena dilakukan di bawah pengaruh anestesi lokal. Sebagian besar pasien kami terkejut karena prosesnya lebih nyaman dari yang dibayangkan.
Ya, wajib. Demi keamanan Anda, kami memerlukan data 3D dari CBCT (dilakukan di lab terdekat dengan biaya tambahan pasien) untuk memastikan posisi saraf dan ketebalan tulang sebelum bor menyentuh gusi.
Tergantung kondisi tulang dan infeksi. Bisa segera dipasang saat pencabutan (immediate implant) atau menunggu 6–12 minggu hingga tulang pulih. Spesialis kami akan menilainya untuk Anda.
Benar. Gigi palsu lepasan sebaiknya dilepas saat tidur untuk memberi waktu istirahat bagi jaringan gusi dan menjaga kebersihan mulut.
Prosesnya relatif cepat, antara 3–7 hari kerja tergantung jenis material dan kompleksitas kasus.
Hampir semua orang dewasa dengan kesehatan umum yang baik. Namun, kondisi tulang rahang dan riwayat penyakit (seperti diabetes tak terkontrol) perlu dievaluasi terlebih dahulu oleh dokter spesialis kami.
Pemasangan implant dilakukan oleh spesialis bedah mulut dan periodonsia berpengalaman